1ºVISITA GRATUITA

Sonrisas del futuro: los tratamientos de estética dental más solicitados en 2025

La estética dental sigue evolucionando y, en 2025, la búsqueda de una sonrisa perfecta ha alcanzado nuevos niveles de innovación, personalización y naturalidad.

Cada vez más pacientes priorizan tratamientos que no solo embellecen la sonrisa, sino que también cuidan la salud oral y se integran de manera armónica con los rasgos faciales.

¿Cuáles son los tratamientos más demandados este año?

Hoy recorremos las tendencias que están marcando la pauta en clínicas dentales de todo el mundo. ¡Comenzamos!

 

Carillas ultrafinas: belleza sin desgaste dental

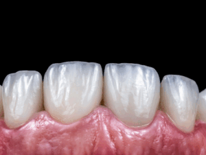
Las carillas dentales siguen siendo líderes indiscutibles en estética dental, pero en 2025 la tendencia apunta a las carillas ultrafinas de disilicato de litio o porcelana de última generación, que permiten transformar la sonrisa sin necesidad de desgastar el diente natural.

Las nuevas carillas ultrafinas de Disilicato de Litio o porcelana de última generación permiten transformar la sonrisa sin necesidad de desgastar el diente natural.

Gracias a la tecnología CAD/CAM, se logran adaptaciones precisas y resultados altamente estéticos con una intervención mínima sobre la estructura dental.

Este tratamiento es especialmente popular entre influencers, profesionales de la comunicación y pacientes que buscan resultados rápidos, seguros y duraderos.

 

Blanqueamiento dental biomimético: más allá del blanco brillante

El blanqueamiento dental sigue siendo uno de los tratamientos más solicitados, pero ahora se busca un blanco más natural, personalizado según el tono de piel y los ojos del paciente. La tendencia actual es el blanqueamiento biomimético, que no solo aclara los dientes, sino que también respeta la estructura del esmalte y evita la sensibilidad post-tratamiento.

 

Los pacientes ya no buscan un blanco artificial tipo Hollywood, sino un tono armónico que se vea saludable y auténtico. Además, muchos tratamientos incluyen mantenimiento con pastas remineralizantes y luz LED fría, para prolongar los efectos sin dañar el esmalte.

 

Diseño digital de sonrisa (DSD): el futuro ya está aquí

La tecnología será protagonista en la odontología estética de 2025. Gracias al Diseño Digital de Sonrisa (DSD), los pacientes pueden visualizar cómo será su sonrisa final antes de comenzar el tratamiento.

 

Esta herramienta influye positivamente en la comunicación entre el paciente y el odontólogo y permite un enfoque totalmente personalizado. Ya no se trata solo de dientes bonitos, sino de una sonrisa que armonice con la cara, el carácter y la personalidad de cada persona.

 

Este enfoque se combina frecuentemente con ortodoncia invisible, carillas y contorneado estético.

 

Ortodoncia invisible: más cómoda, más rápida, más estética

La ortodoncia con alineadores transparentes sigue siendo una de las opciones más populares entre adultos jóvenes y profesionales. En 2025, los nuevos materiales son más discretos, resistentes y permiten movimientos dentales más precisos en menos tiempo.

 

Cada vez más adultos entre 30 y 50 años apuestan por la ortodoncia invisible. Es un tratamiento discreto, sin brackets metálicos y con resultados muy predecibles.

 

Además, muchos tratamientos ahora incluyen simulaciones 3D y seguimiento con aplicaciones móviles.

 

Gingivoplastia láser: redefiniendo el contorno de la sonrisa

La sonrisa no solo depende de los dientes, también de las encías. La gingivoplastia con láser de diodoha ganado terreno este año, ya que permite modificar el contorno gingival sin sangrado, con mayor precisión y una recuperación casi inmediata.

 

Ideal para corregir la “sonrisa gingival” o equilibrar dientes de diferente longitud visual, este procedimiento es rápido y mínimamente invasivo.

 

Una sonrisa, muchas posibilidades

En 2025 los tratamientos de estética dental combinan arte, tecnología y salud. Las personas buscan una sonrisa natural, equilibrada y que refleje su esencia. La personalización, la innovación y el enfoque integral son las claves del éxito.

 

Si estás pensando en mejorar tu sonrisa, este puede ser el mejor momento. Consulta con un especialista en estética dental en la clínica dental OROA y descubre cuál es el tratamiento ideal para ti.

 

Recuerda que una sonrisa cuidada no solo mejora tu apariencia, también eleva tu autoestima y bienestar general.

 

Hasta el próximo post

Dra. Natalia García

La doctora Natalia García es Máster en Implantología y Endodoncia. Como directora en clínica OROA de ambos departamentos, su principal función es coordinar y planificar todos los tratamientos relacionados con estas áreas, desde la colación de implantes, cirugías, prótesis, restauraciones o tratamientos que impliquen endodoncias.

Licenciada en Odontología por la Universidad Alfonso X el Sabio, con Máster Universitario tanto en Endodoncia como en Implantología y Prótesis por la Universidad Alfonso X el Sabio.

Estamos a una sonrisa de ti

Recuerda que tu primera visita a nuestra clínica dental en Barrio de Salamanca es gratuita.

Aquí te asesoraremos sobre el mejor tratamiento para ti, porque venir al dentista nunca había sido tan fácil.