¿Te gustaría mejorar tu sonrisa sin brackets metálicos, de forma cómoda y discreta?
La ortodoncia invisible es un tratamiento que utiliza alineadores transparentes y removibles para mover progresivamente tus dientes hasta lograr una sonrisa alineada, sana y armónica.
En Clínica OROA trabajamos con tecnología de diagnóstico digital y escáner 3D para diseñar un plan de tratamiento completamente personalizado.
Cada juego de alineadores se cambia cada 1-2 semanas, y cada uno realiza pequeños movimientos en tus dientes de forma precisa, cómoda y estética.
Todo bajo la supervisión de la Dra. María Rodríguez, especialista Platinium Élite en Invisalign.
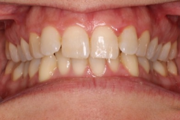
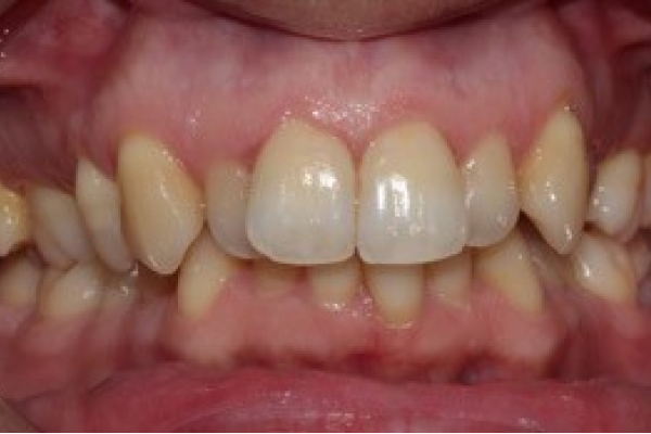
Resultados reales de pacientes felices al 200%
La sonrisa de cine que siempre has deseado a tan solo un clic.



La ortodoncia invisible es ideal para ti si:
También es una excelente alternativa para adultos que ya llevaron ortodoncia en su juventud y han notado desplazamientos con el tiempo.
No. Los alineadores son totalmente transparentes y se adaptan perfectamente a tus dientes.
Depende de cada caso, pero la media es entre 6 y 18 meses. Desde la primera visita te damos un plan detallado con plazos y fases.
No duele. Puede haber una leve presión al cambiar de alineador, pero es muy tolerable y mucho más cómodo que los brackets.
No. Los alineadores deben retirarse para comer o beber bebidas calientes. Eso ayuda a mantenerlos limpios y alarga su vida útil.
Para que el tratamiento sea eficaz debes llevarlos al menos 22 horas al día. Si no eres constante, no se cumplirán los resultados esperados ni en el tiempo estimado.
En OROA ofrecemos ortodoncia invisible desde 3.020€, con financiación a medida desde 63€/mes, y además te regalamos el blanqueamiento y el diagnóstico completo.
Cada miembro de Clínica Dental OROA en Barrio de Salamanca se dedica en exclusiva a su especialidad dental, trabajando en equipo para diagnosticar y diseñar tu tratamiento.
Especialización técnica y visión global. Pero no solo eso. También honestidad, calidez y confianza.
María Rodríguez
Especialista en Invisaling con certificación Diamond Provider
Daniel Garrido
Marisa García
Auxiliar de Odontología Restauradora y Endodoncia
Beatriz Ruiz
Tamara Varona
Auxiliar de Ortodoncia y Odontopediatría
Virginia Solana
Atención al Paciente







Rocío Blázquez2022-02-10Trustindex verifica que la fuente original de la reseña sea Google. Buscaba una clínica dental en el barrio de Salamanca donde realizarme un blanqueamiento dental y la verdad es que el resultado en la clínica dental OROA ha sido de 10. Me realicé un blanqueamiento combinado, parte en casa y parte en la clínica y estoy encantada con el resultado. Lo recomiendo 100%. Rodrigo Acero de la Morena2022-01-27Trustindex verifica que la fuente original de la reseña sea Google. Tenía un dolor muy fuerte en las encías y buscaba una clínica dental de urgencias en el barrio de Salamanca. Llamé y me atendieron super rápido y solucionaron mi problema. Recomiendo esta clínica dental y a todo su equipo de profesionales. Raúl Martín2022-01-27Trustindex verifica que la fuente original de la reseña sea Google. Estaba buscando una clínica dental en el Barrio de Salamanca para realizarme un tratamiento con ortodoncia invisible y encontré la clínica OROA. Desde el primer momento un trato maravilloso, la doctora María (mi ortodoncista) es encantadora, en todo momento me ha explicado cada avance y cada cambio en el tratamiento. Sin duda la recomiendo al 100%. Antonio Borondo2022-01-26Trustindex verifica que la fuente original de la reseña sea Google. Muy contento con el resultado de mi tratamiento de ortodoncia en la clínica dental OROA. Tras varios tratamientos de ortodoncia en otras clínicas y sin obtener los resultados que buscaba, por fin he logrado tener la sonrisa que quería. Gracias a la doctora María por su gran trabajo y profesionalidad y a todo el equipo. Sin duda mi clínica de confianza en el barrio de Salamanca. Nuria2021-09-22Trustindex verifica que la fuente original de la reseña sea Google. Muy contenta con la atención y limpieza dental, por lo que me animé a probar con ellos una reconstrucción en una pieza. Me despedí igual de contenta que la primera vez. Aproximadamente al mes se soltó tras un enjuague bucal. Vuelvo una segunda vez , se vuelve a soltar y una tercera ayer. Decidió anestesiar para eliminar restos. Estuve desde las 16:30 h hasta las 22:00 h sin recuperar la sensación. Una dosis muy generosa, mucho más que para una endodoncia. Me siento sorprendida en otro sentido contrario al que comenzó siendo. raquel cardona2021-09-01Trustindex verifica que la fuente original de la reseña sea Google. Personal muy atento. Trato agradable. Cumplen todas las medidas de higiene y seguridad. Muy buena experiencia. Seguiré utilizando sus servicios Lavinia Busu2021-08-24Trustindex verifica que la fuente original de la reseña sea Google. Muy poco serios. Se han hecho un lío con las agendas y a pesar de avisarles con antelación de que iba con muletas me han tenido 15 minutos esperando en la puerta sin atender el teléfono. Me devolvieron la llamada y la solución que me ofrecieron es que les esperara otros 10 minutos ( de pie y con muletas), entiendo que un error así puede ocurrir, pero me parece poco serio. Erika Simeoni2021-07-22Trustindex verifica que la fuente original de la reseña sea Google. Quiero dar esta reseña ya que mi papa se esta atendiendo en el lugar y quiero agradecer el trato que tienen, como trabajan, atención detallada y delicada, explicando cada paso y procedimientos, transparencia absoluta, lo recomiendo y felicito !! Dalila Perez2021-06-01Trustindex verifica que la fuente original de la reseña sea Google. Un familiar paciente de la doctora Natalia me recomendó acudir a ésta clínica y definitivamente es mi clínica dental. Formada por un gran equipo que te atiende con una sonrisa desde el primer momento, un trato cercano en que además te explican todo muy bien. Sin duda la recomiendo al 100%. No se les puede pedir más. Gracias!! Álvaro Alonso2021-04-06Trustindex verifica que la fuente original de la reseña sea Google.
Recuerda que tu primera visita a nuestra clínica dental en Barrio de Salamanca es gratuita.
Aquí te asesoraremos sobre el mejor tratamiento para ti, porque venir al dentista nunca había sido tan fácil.
Empresa
Copyright © Clínicas Oroa 2025. Todos los derechos reservados.Diseño Mariana Martínez.