
Sonríe como nunca este verano: descubre el poder de las microcarillas
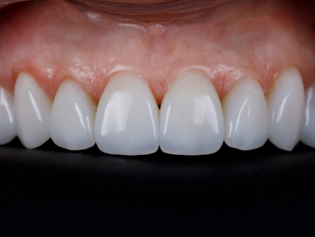
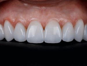
Con la llegada del verano, muchos buscan una sonrisa deslumbrante y natural con máxima rapidez. Las microcarillas se han convertido en la opción perfecta para
Donde encontrarás consejos prácticos, novedades en tratamientos, cuidados dentales y todo lo que necesitas saber para mantener tu boca sana, bonita y en equilibrio.
Este es tu espacio para aprender a cuidar tu sonrisa.

Con la llegada del verano, muchos buscan una sonrisa deslumbrante y natural con máxima rapidez. Las microcarillas se han convertido en la opción perfecta para

Las carillas dentales son una excelente opción para mejorar la estética de la sonrisa, ofreciendo resultados naturales y duraderos. Sin embargo, su longevidad depende en

Si tienes dientes sensibles y te has sentido limitado a la hora de mejorar tu sonrisa, hay buenas noticias: las carillas ultrafinas están cambiando las

El deseo de una sonrisa más blanca ha llevado a muchas personas a buscar tratamientos de blanqueamiento dental. Sin embargo, es fácil cometer errores que

La estética dental sigue evolucionando y, en 2025, la búsqueda de una sonrisa perfecta ha alcanzado nuevos niveles de innovación, personalización y naturalidad. Cada vez

La sonrisa es una de las características más importantes de nuestra expresión facial. No solo refleja nuestro estado de ánimo, sino que también desempeña un

Con la llegada del verano, muchos buscan una sonrisa deslumbrante

Las carillas dentales son una excelente opción para mejorar la

Si tienes dientes sensibles y te has sentido limitado a

El deseo de una sonrisa más blanca ha llevado a

La estética dental sigue evolucionando y, en 2025, la búsqueda

La sonrisa es una de las características más importantes de
Empresa
Copyright © Clínicas Oroa 2025. Todos los derechos reservados.Diseño Mariana Martínez.